

Підковоподібна нирка: що це таке та складний клінічний випадок видалення пухлини


Звичайна нирка
Підковоподібна нирка
Підковоподібна нирка — це вроджена анатомічна аномалія розвитку, при якій ліва і права нирки з'єднані між собою перешийком і утворюють форму підкови.
Така особливість зустрічається приблизно у 1 з 400–600 людей.
Ні. Підковоподібна нирка — це не захворювання, а анатомічна особливість, з якою людина народжується.
У багатьох випадках вона функціонує нормально і не викликає жодних симптомів. Часто люди дізнаються про таку особливість випадково — під час ультразвукового дослідження (УЗД) або комп’ютерної томографії (КТ).
Чи є підковоподібна нирка хворобою?


У деяких випадках підковоподібна нирка може бути пов’язана з певними ускладненнями, зокрема:
інфекціями сечовивідних шляхів
каменями в нирках
порушенням відтоку сечі
розвитком пухлин
утворенням тромбів у ниркових венах
У таких ситуаціях може виникнути необхідність хірургічного лікування.
Коли можуть виникати проблеми?
4 березня 2026 року хірурги-урологи «Центру сучасної урології» виконали складне оперативне втручання пацієнту з підковоподібною ниркою.
Перед командою лікарів стояло одразу кілька завдань:
видалити велику пухлину підковоподібної нирки
видалити пухлинний тромб у правій нирковій вені
максимально зберегти здорову тканину нирки
Клінічний випадок: складна операція на підковоподібній нирці


Складність операції була пов’язана з двома рідкісними анатомічними особливостями:
1. Підковоподібна нирка
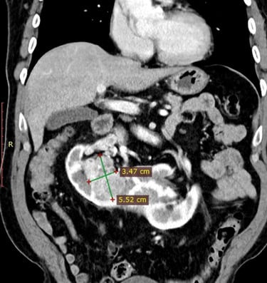
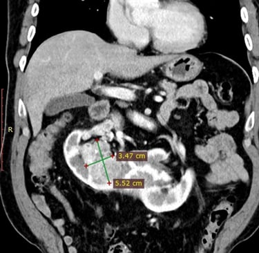
Ліва та права нирки були з’єднані перешийком висотою майже 5 см, що формувало характерну форму підкови (див. КТ-знімок).
2. Аномальна будова нижньої порожнистої вени
Нижня порожниста вена мала аномально високу біфуркацію — розгалуження відбувалося на рівні відходження печінкової вени, вище ниркових артерій.
Така анатомія значно ускладнює оперативне втручання та підвищує ризик значної крововтрати.
Анатомічні особливості, що ускладнювали операцію


Пацієнт знав про наявність підковоподібної нирки з дитинства.
Однак під час обстеження було виявлено:
пухлину нижнього сегмента правої половини підковоподібної нирки
пухлинний тромб у правій нирковій вені
Анамнез пацієнта
У «Центрі сучасної урології» пацієнту було виконано: правобічну гемінефректомію підковоподібної нирки (видалення правої половини нирки) з тромбектомією.
Під час операції лікарям вдалося:
повністю видалити пухлину
видалити тромб із ниркової вени
зберегти ліву половину нирки та лівий сечовід
Збереження функціонуючої частини нирки дозволяє підтримувати нормальну роботу сечовидільної системи.
Проведене хірургічне лікування


Такі клінічні випадки потребують високого рівня хірургічної експертизи, ретельного передопераційного планування та досвіду роботи зі складними анатомічними варіантами.
Фахівці «Центру сучасної урології» в Києві мають досвід виконання складних онкоурологічних операцій навіть при рідкісних аномаліях розвитку.
Лікарі-урологи, онкоурологи в Києві


Записатися на консультацію до уролога-онколога в Києві
Сучасна діагностика та лікування новоутворень нирки разом з провідними онкоурологами України в «Центрі сучасної урології» в Києві (вул. Васильківська 45).
Попередній запис за телефонами
+38 (099) 412 55 95
+38 (073) 465 55 95
+38 (096) 643 55 95
Контакти
+38 099 412 55 95
Соціальні медіа
ТОВ "Центр сучасної урології"
Консультації на Васильківській 45, Київ
Медичний центр (стаціонар) Крюківщина, вул. Ярослава Мудрого 51 (3-й поверх)
+38 073 465 55 95
+38 096 643 55 95
E-mail: info@urology.net.ua
Адреси
Ліцензія НАКАЗ МОЗ України №1083 від 07.06.2018
Copyright © 2018-2026 ТОВ "Центр сучасної урології"
